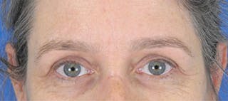
We are happy to share this Before and After of our lovely patient’s brow lift with upper blepharoplasty. Dr. Brace utilized a trichophytic (hairline) incision to elevate the brows to a more natural and rested position without creating a ’surprised’ unnatural look. The redundant upper eyelid skin was also removed. The after results show the scar 4 months post-op after 2 VBEAM treatments. All of Dr. Brace’s patients are treated with cutting edge laser technology when needed to make their scars look as imperceptible as possible, as soon as possible.












































































































